Porcelain Dental Veneers in Aptos, CA

Current Special 20% OFF - Free Consultation

*Limited Time Offer, Schedule Today

Get A Whiter & Brighter Smile

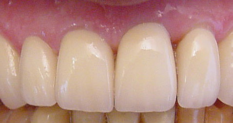
Aptos cosmetic dentist Dr. Heidari typically recommends veneers to cover uneven tooth alignment, worn-out tooth enamel or chipped and broken teeth.  Porcelain dental veneers are a popular choice among our patients because they require a minimal amount of tooth reduction. They are made to be the exact same thickness and size as your natural teeth, and their shape, size and color can all be changed to match the rest of the teeth in your mouth.

The materials used in creating these dental veneers have evolved to the point where today’s veneers offer patients a look much closer to natural teeth than was ever available before. These veneers can help solve cosmetic dental issues such as:

  • Worn Enamel: Enamel is the hard, white material that covers your teeth. Over time, that substance may lose its color or become dulled. This could be genetic or a result of habits such as drinking soda or coffee, smoking and more.
  • Aged Worn Teeth: Your teeth naturally wear down as you age and become more susceptible to chips and breaks.
  • Genetics: Some people simply are born with improper spacing between their teeth.
  • Unevenness: If you grind your teeth at night or simply have given your teeth a lot of natural wear and tear, you could be susceptible to unevenness in your teeth.
Porcelain Dental Teeth Veneers Aptos, CA

Before & After Veneers

Porcelain Dental Veneers Aptos Porcelain Teeth Veneers Aptos
Porcelain Veneers Aptos Teeth Veneers Aptos
Porcelain Dental Veneers aptos Tooth Veneers

Additional Benefits to Dental Veneers

In addition to the aesthetic benefits porcelain dental veneers provide, they also have a variety of functional benefits. They protect the surface of teeth that have been damaged and can even eliminate a person’s need to obtain a dental crown or root canal. Because these veneers are as thin as they are, you will likely not have to undergo significant tooth reshaping procedures when the veneers are fixed onto the teeth.

 

Will I Have To Do Anything Special To Care For My Veneers?

No, dental veneers are designed to be strong and require no special care – just regular brushing and flossing and regular dental visits to make sure they remain properly adhered. Although veneers are designed to be stain-resistant, it’s a good idea to rinse your mouth after eating or drinking a product that’s known to cause staining, such as red wine or blueberries, to make sure the veneers – and the rest of your teeth – stay white and bright.

 

 

For more information about our Porcelain Dental Veneers, give our Aptos dentist office a call at  (831) 688-6531 or email us at Info@CreekViewDentistry.com. We look forward to working with you and helping you find that attractive smile you’ve always wanted.

Have Questions?

Please Ask!

    Before Porcelain Veneers Aptos After Porcelain Veneers Aptos

    Schedule An Appointment To Get Your Brand New Smile